Diagnostic d’un corps étranger digestif : aspect radiographique et échographique
Rédigé par: Dr. Zoé DETROZ et Dr. Jérémie FICHEROULLE
Dernière mise à jour : Mars 2026
© 2026 Caladrius – Tous droits réservés
Introduction
Nos animaux de compagnie sont régulièrement exposés au risque d’ingestion de corps étrangers non digestibles (plastiques, bois, verre, métal, etc.), susceptibles d’entraîner des signes cliniques marqués, y compris lorsque les objets ingérés sont de petite taille.
Les manifestations cliniques peuvent survenir de manière aiguë, notamment lorsque le corps étranger provoque une obstruction digestive complète, ou lorsqu’il entraîne des lésions mécaniques du tractus gastro-intestinal (objets pointus, tranchants, linéaires…). Dans certains cas, l’évolution peut être plus insidieuse, avec des signes cliniques chroniques (notamment lors de subobstructions), retardant ainsi le diagnostic.
Les propriétaires peuvent alors observer divers signes non spécifiques, parmi lesquels :
• vomissements,
• diarrhée,
• dysorexie ou anorexie
• abattement,
• perte de poids,
• etc.
Bien que relativement fréquente, cette affection peut s’avérer complexe à diagnostiquer en raison de la diversité et de l’aspécificité des signes cliniques observés. Dans cet article, nous présenterons les principales modalités d’imagerie utilisées dans l’évaluation des corps étrangers gastro-intestinaux, en mettant particulièrement l’accent sur la radiographie et l’échographie.
RADIOGRAPHIE
La radiographie est un examen d’imagerie médicale reposant sur l’utilisation de rayons x permettant l’évaluation des structures anatomiques selon leur densité.
Elle présente de nombreux intérêts dans l’évaluation des suspicions de corps étrangers chez l’animal. Disponible dans la majorité des structures vétérinaires, elle constitue un examen rapide et relativement peu coûteux.
Cependant, cette modalité d’imagerie comporte également des limites. Certains corps étrangers ne sont pas directement visibles sur les clichés radiographiques, contrairement, par exemple, aux structures métalliques ou minérales. De plus, la visualisation d’un corps étranger n’est pas nécessairement synonyme de pertinence clinique. L’interprétation de ces images peut donc s’avérer complexe, notamment pour déterminer l’implication réelle des observations radiographiques dans la symptomatologie de l’animal. Dans certains cas, la réalisation de clichés de contrôle est recommandée afin de suivre l’évolution des modifications radiographiques.

Radiographie : visualisation de corps étrangers gastriques radio-opaques
Que peut-on notamment visualiser en radiographie ?
• Corps étrangers radio-opaques : métal, os, cailloux, etc.
• Corps étrangers tissulaires : ils peuvent se confondre avec d’autres structures de même opacité (masses, contenu alimentaire), mais se distinguent parfois par une géométrie ou architecture interne inhabituelles.
• Après administration orale de produit de contraste baryté :
– Présence d’un défaut de remplissage provoqué par la présence du corps étranger
– Adhésion de produit de contraste pour les corps étrangers absorbants (ex. : textile), visualisation possible après la vidange gastrique grâce à la persistance localisée du contraste.
Signes secondaires pouvant être observés en radiographie et en échographie
• Iléus mécanique : caractérisé par deux « populations » distinctes d’anses intestinales en cas d’obstruction. Les anses en « proximales » (orales) apparaissent dilatées du fait de l’impossibilité de progression du contenu, tandis que les anses « distales » (aborales) sont collabées car elles ne sont plus alimentées.
• Signe du “gravier” (« gravel sign ») : accumulation, en amont de l’obstruction, de particules peu digestibles et radio-opaques, donnant un aspect granuleux caractéristique.
• Images en « pile d’assiettes » ou en « accordéon » : visibles lorsque qu’un corps étranger linéaire se coince au sein du tractus digestif et provoque une plication des anses.
• En cas de corps étranger gastrique entraînant une obstruction pylorique : dilatation de l’estomac par du contenu gazeux et/ou liquidien.
• En cas de péritonite suite à une perforation de anse, visualisation de gaz libre et/ou d’épanchement abdominal.
Attention que la majorité de ces signes secondaires peuvent être visibles dans tous types d’obstruction et n’impliquent pas toujours du matériel étranger (ex : masse digestive, intussusception).
ECHOGRAPHIE
L’échographie est un examen d’imagerie médicale utilisant des ultrasons permettant l’évaluation détaillée et dynamique des tissus mous notamment (architecture, mobilité, flux vasculaire..).

Échographie abdominale : visualisation d’un corps étranger linéaire sub-obstructif
Lorsque la radiographie ne suffit pas et que des doutes persistent, l’échographie permet généralement de préciser le diagnostic. Cependant, elle nécessite des opérateurs formés et demeure limitée par certains facteurs, tels que la présence d’air masquant le contenu digestif ou un patient de grande taille.
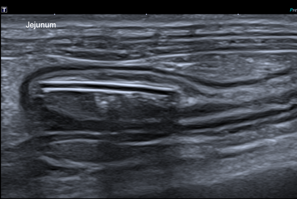
Bien que les corps étrangers puissent présenter des formes et des apparences très variées, leur aspect échographique classique est celui d’une structure à interface hyperéchogène, parfois géométrique (circulaire, cubique, etc.), générant un cône d’ombre franc. Les corps étrangers peuvent s’accompagner de signes secondaires similaires à ceux décrits ci-dessus (gravel sign, iléus mécanique, etc.).

Échographie abdominale : visualisation d’un corps étranger dans le jéjunum
L’échographie offre également la possibilité de préciser de nombreux éléments :
• Visualisation de corps étrangers non radio-opaque, notamment des corps étrangers linéaires (avec plicature des anses).
• Distinction entre une obstruction liée à un corps étranger et tout autre type d’obstruction ; notamment une masse obstructive, ou une intussusception.
• L’intussusception peut également être secondaire : avec un péristaltisme augmenté et une obstruction mécanique, une anse peut s’invaginer dans une autre. L’aspect échographique est caractéristique, avec la visualisation d’une zone à double paroi digestive (intusseptum et intussuscipiens), à bien visualiser dans tous les plans pour éviter toute erreur d’interprétation.
• État de la paroi gastrique ou intestinale : épaississement, perte localisée de la structure en couches, ulcération voire perforation. Utilisation du Doppler permet d’évaluer la viabilité pariétale du segment intestinal touché.
• Visualisation d’une péritonite : hyperéchogénicité des graisses abdominales, présence d’un épanchement péritonéal et de gaz libre.

Échographie abdominale : visualisation d’un corps étranger gastrique
Attention tout de même aux limites de l’échographie :
• Certains aliments denses peuvent imiter l’aspect échographique d’un corps étranger.
• Les corps étranger ne forment pas toujours de cône d’ombre franc.
• Un contenu aérique au sein du tractus digestif peut masquer un corps étranger.
• Lors de l’examen d’un patient de grande taille, il n’est parfois pas possible de visualiser clairement toutes les structures digestives.
Conseils aux propriétaires
En cas de suspicion de corps étranger digestif, l’imagerie médicale doit être réalisée sans délai : elle permet de confirmer le diagnostic, d’envisager une intervention chirurgicale précoce et d’optimiser le pronostic.
Sources Scientifiques
- Bruwier A, Fouhety A, Boursier JF, Leperlier D, Bedu AS. Ultrasonographic and computed tomographic features of a true gastro-gastric intussusception with concurrent foreign bodies in a dog. Can Vet J. 2022 Apr;63(4):407-410. PMID: 35368404; PMCID: PMC8922379.
- Dominique Penninck & Marc-André d’Anjou, Atlas of Small Animal Ultrasonography, Second Edition, Wiley-Blackwell, 2015, 571 pages, ISBN 978-1-118-35998-3
- Donald E. Thrall, Textbook of Veterinary Diagnostic Radiology, 6th Edition, Saunders / Elsevier, 2012 (voire 2013 suivant l’édition), ISBN 978-1-4557-0364-7 (ISBN-13) / 1455703648 (ISBN-10)
